医院动态
【仁心课堂】告别牙结石,从一次“洁牙”开始

作者: Administrator 发布时间: 2026-01-29 点击数: 7553

图片
图片
图片
图片
图片
图片
图片
图片
图片
图片
图片
图片
图片
图片
图片
图片
图片
图片
图片
图片
图片

上海电力医院爱牙科普宣传

关注爱牙知识

守护健康笑容


告别牙结石

图片

爱护牙齿,健康从细节做起

在医院口腔科的门诊室里,经常上演这样的对话:

“医生,我每天刷牙很认真,为什么还要洗牙?”

“医生,我洗完牙牙缝变大了,是不是被洗坏了?”

“医生,洗牙能美白牙齿吗?”

其实90%的人都对洁牙有误解,这不是美容,而是治疗。

它不是牙科“额外消费”,而是跟刷牙一样,是基础且必要的口腔清洁手段,

更是预防牙周病的关键!


01

图片

洁牙的本质:

一项严肃的医疗行为

图片



首先必须明确:洁牙属于“治疗性操作”,而非“美容项目”。

它的核心目的只有一个:清除龈上菌斑和牙结石,控制牙龈炎症,预防和治疗牙周病。

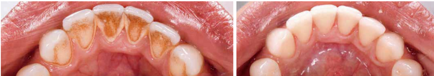
牙结石是什么?它是牙菌斑(细菌群落)矿化后的硬质沉积物,一旦形成,牙刷、牙线都难以去除。它就像牙齿表面粗糙的礁石,成为更多细菌滋生的温床,持续刺激牙龈,导致红肿、出血,最终引发牙槽骨吸收和牙齿松动。

洁牙,是由专业医务人员用超声波等器械,专业、安全地“拆掉”这些礁石。

图片


02

图片

最大的误区

结果,还是原因?

图片



“洁牙后牙缝变大、牙齿酸软”,这是最常见的顾虑,也是最大的认知误区。

真相是:牙缝变大和牙齿敏感,不是洁牙“造成”的,而是洁牙“揭露”的。

图片

关于牙缝

长期堆积的牙结石填塞在牙缝中,同时其下方的牙龈因长期炎症已萎缩,牙槽骨已吸收。洁牙清除了牙结石,只是还原了被牙结石掩盖的已存在缝隙。这不是创造问题,而是暴露早已发生的问题。


图片

关于敏感

牙结石像一层“脏棉袄”包裹在牙齿颈部。去除后,被包裹的牙根面暴露,会出现短期内敏感,敏感通常会在1-2周内缓解。持续存在的敏感,往往提示牙齿本身可能存在楔状缺损等问题,洁牙帮助发现了它。


洁牙,是终止牙周破坏的第一步

图片
图片
图片

上海电力医院口腔科引入精准菌斑控制洁治设备,集微创喷砂、无痛超声、精准探诊于一体,以科学技术革新口腔清洁体验,适配全年龄段患者多元需求。

该设备可温和清除龈上龈下菌斑、色素及初期牙结石,深达9毫米牙周袋也能精准清洁;超声系统微创去石,避免牙体损伤,全程舒适无明显痛感。清洁后牙面光滑洁净,有效降低菌斑再生风险,还能辅助排查早期龋病,为后续防护奠定基础。

图片



03

图片

洁牙全流程,

提前了解不慌!

图片



1、术前检查:医生先查口腔状况,确认是否有牙周炎、蛀牙,定制治疗方案;

2、超声洁治:超声波仪器震荡牙结石,同步喷水降温清洁,敏感人群可能有轻微酸胀;

3、抛光喷砂【可选】:洗牙后牙面有细微划痕,抛光减少牙结石附着;

4、术后叮嘱:医生告知注意事项,对于牙周问题较为严重者,需实施深层清洁,可采取分区洁疗的方式。

图片


04

图片

一份来自临床指南的行动建议

图片



基于中华口腔医学会及国际牙周病学界的共识,我们建议:

1、定期检查,遵医嘱洁治:对于绝大多数口腔健康的成年人,建议每6-12个月进行一次口腔检查和洁牙。对于已患有牙周炎的患者,治疗后的支持维护期通常为每3-6个月。具体频率,应由专业口腔科医生根据您的牙周状况评估后确定。

2、洁牙后科学维护:洁牙后1周内避免过冷过热饮食,尽量别吃咖啡、酱油、蓝莓等深色食物,也别吸烟,防止牙渍快速附着。认真刷牙,并学会使用牙线或牙缝刷清洁牙缝。只有良好的日常维护,才能延长洁牙效果,控制菌斑再生速度。

图片


图片

结语

图片

洁牙,不是为了让牙齿更白(尽管去除烟斑茶渍后视觉上会更干净),而是为了清除那个刷牙刷不掉、会持续刺激牙龈、最终可能摧毁牙齿支撑组织的牙结石。

最好的治疗永远是预防。



供稿:口腔科

编辑:张鹏

审核:医院办公室



上海电力医院仁心医者


微信号:shdlyydq

图片
图片

长按识别二维码关注我们